找回密码
 注册

微信登录,快人一步

QQ登录

只需一步,快速开始

楼主: 紫陌红尘

跟着感染神探学感染--反复发热伴干咳4月-2.16更新完结

   火... [复制链接]
发表于 2017-1-31 11:41 | 显示全部楼层
感觉肺结核的可能性大
回复

使用道具 举报

发表于 2017-1-31 11:54 | 显示全部楼层
还需了解接触史,可否考虑HIV和肺结核二重感染。
回复

使用道具 举报

发表于 2017-2-2 08:49 | 显示全部楼层
感谢老师们的精彩讨论,涨知识了。
回复

使用道具 举报

发表于 2017-2-2 17:16 | 显示全部楼层
二进制 发表于 2017-1-6 05:01
“患者虽然做了血培养,但缺少痰培养。做痰培养。”
主题内容提及:患者为干咳、无痰。痰培养、涂片不能 ...

不知道可不可以做支气管镜室下灌洗液培养啊?
回复

使用道具 举报

发表于 2017-2-3 08:41 | 显示全部楼层
发热病人常规也是要做虐原虫血检的,这个病人有没有这项检查结果?有没有可能是疟疾?
回复

使用道具 举报

发表于 2017-2-3 09:18 | 显示全部楼层
很好的案例,学习了,期待各位老师进一步的讨论。
回复

使用道具 举报

发表于 2017-2-3 10:19 | 显示全部楼层
学习了,谢谢老师们分享!
回复

使用道具 举报

发表于 2017-2-3 11:38 | 显示全部楼层
路过学习,期待诸位老师的精彩见解。
回复

使用道具 举报

发表于 2017-2-3 14:35 | 显示全部楼层
感觉肺部存在活动性的感染灶,心脏瓣膜的病变为继发性,期待答案揭晓。
回复

使用道具 举报

发表于 2017-2-3 15:23 | 显示全部楼层
个人认为结核的可能性大。等待老师公布答案!
回复

使用道具 举报

发表于 2017-2-3 16:14 | 显示全部楼层
链球菌菌吗?期待正确答案。
回复

使用道具 举报

发表于 2017-2-3 16:37 | 显示全部楼层
我认为应做痰培养,最好是支纤镜取痰。
回复

使用道具 举报

发表于 2017-2-4 14:49 | 显示全部楼层
应该停药观察,规范进行血培养,寻找病原体后根据药敏针对性用药
回复

使用道具 举报

  • 打卡等级:即来则安
  • 打卡总奖励:91
  • 最近打卡:2025-09-08 18:21:18
 楼主| 发表于 2017-2-16 14:46 | 显示全部楼层
本帖最后由 紫陌红尘 于 2017-2-16 14:53 编辑

经过1月的讨论,6.4选用抗菌药物的方案讨论总结:
1.病原体考虑:
*丝虫病
*心内膜炎呼声高
--其他部位感染后的继发,如肺部感染,同时是不是考虑有其他的特殊感染。
--链球菌感染
--一般情况下天然瓣膜的的感染性心内膜炎,亚急性常见的细菌链球菌,
*血常规正常,CRP、PCT不是太高,不会是细菌感染
*结核
*如果血培养规范送检多次仍阴性要考虑Q热或支原体感染
*连续三次心超,二尖瓣及主动脉增厚毛燥,怀疑心内膜炎,抗感染+抗真菌无效,有赘生物形成,是不是考虑有寄生虫的可能呀
*完善艾滋病,结核,军团菌病的相关检查
*根据病史结合实验室检查,感染性心内膜炎成立,根据成人感染性心内膜炎(IE)专家共识,致病菌分为三类:1、葡萄球菌心内膜炎;2、链球菌心内膜炎;3、肠球菌心内膜炎。共识强调选择原则为:(1)杀菌剂;(2)联合应用,包括至少2种具协同作用的抗菌药物;(3)大剂量;(4)静脉给药;(5)长疗程。从病史上分析,链球菌感染可能性比较大。
*肿瘤合并感染
*非感染:过敏、全身免疫性疾病
2.药物选择:
*用大环内酯类、氨基糖苷类药物(根据这两类没用过就单选,个人认为不太妥哦)。临床上*治疗用心内膜炎在我们基层医院用青霉素和氨基糖苷类,疗程够都是有效果的。
*一般情况下天然瓣膜的的感染性心内膜炎,亚急性常见的细菌链球菌,首选的抗菌药物是青霉素,头孢曲松
*非药物治疗:手术
*停药观察
3.进一步检查:
*最好再做血培养
*期待补充肺部影像学,血沉,ppd,tspot等
*心内瓣膜处活组织培养
*对于疑诊为感染性心内膜炎的病人,至少需要5套血培养才行,注意血培养采集时间,最好24H抽取3次,
*支气管灌洗培养
*疟原虫血检
后续经过:
血常规: WBC 3.71*109/L,N% 69.2%,ESR:40 mm/H
CRP:23.4mg/L
T-SPOT.TB:0/0
隐球菌乳胶凝集试验
自身抗体
血培养:无菌生长
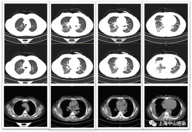
6月14日复查胸部CT2:肺炎稍吸收,但双侧胸腔积液更加明显
胸水检验:
CEA:<0.2ng/ml
ADA:48.0U/L
细菌涂片+培养:阴性
真菌涂片+培养:阴性
抗酸涂片:阴性
胸水WBC1500,淋巴细胞88%
肺吸虫血清抗体阳性,诊为肺吸虫病,吡 喹酮1g(200mg*5片),tid,3天,8.29 CT3复查病灶明显吸收。
本例诊疗过程讨论分析:
1.从讨论汇总来看,大家都忽略了针对性的病史询问。
2.本例有意思的地方是有不符合常见寄生虫病的特点:血嗜酸性粒细胞不高;血IgE正常;胸腔积液无嗜酸性粒细胞;肺内未见虫体移行性空洞或囊性病灶;但也有多处提示:多浆膜腔积液;抗菌治疗无效;肺内病灶呈游走性;患者喜食醉蟹。
3.原文作者探案启迪
*现代社会,寄生虫感染已经越来越少见,但仍然是感染性疾病的重要类型。需要时刻保持警惕性,尤其是常规治疗无效的感染病。
*文献报道,约30%肺吸虫感染,血液和浆膜腔积液中嗜酸性细胞可以不升高,临床医生在鉴别诊断时对此变化需要有正确认识。
*感染病诊断难,治疗难,最主要是需要对感染病病原体的识别,如果病原学诊断确定了,抗感染治疗有针对性,可以是价廉物美。
*病从口入,对于部分感染病包括寄生虫病,依然是真理


CT1.jpg

CT2.jpg

胸水常规.jpg

血清抗体检验报告.jpg

CT3.jpg
回复

使用道具 举报

发表于 2017-2-16 17:08 | 显示全部楼层
看来要成为一个集诊断治疗综合分析的大神还需要宽阔的思维才行哦
回复

使用道具 举报

  • 打卡等级:无名新人
  • 打卡总奖励:11
  • 最近打卡:2025-06-30 08:18:13
发表于 2017-4-28 08:39 | 显示全部楼层
路过学习了,谢谢老师分享,期待正确答案。
回复

使用道具 举报

发表于 2017-4-28 10:49 | 显示全部楼层
学习了专家们的精彩讨论,谢谢;
回复

使用道具 举报

您需要登录后才可以回帖 登录 | 注册 |

本版积分规则

关闭

站长推荐上一条 /1 下一条

快速回复 返回顶部 返回列表